Sunnyvale Dentist | Sunnyvale Dental Care

Smile Gallery – Sunnyvale Dental Care

Smile Gallery – Before and After 

Invisalign

Invisalign before after sunnyvale

Invisalign

Invisalign

Invisalign

Invisalign

Invisalign

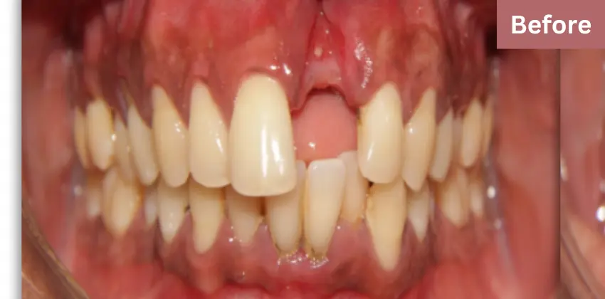
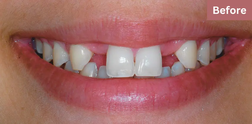
Implants

Implants

Implants

Implants

Exit mobile version